26+ Years of Combined Experience
Our About Us
About Orthospine – All Things Orthopaedic
At Orthospine, we believe every person deserves pain-free movement and an active lifestyle. Our team provides advanced orthopaedic care using modern techniques, certified implants, and minimally invasive methods to ensure faster and smoother recovery.
We focus on accurate diagnosis, personalised treatment plans, and compassionate care so patients feel supported at every stage of their healing journey.
- Specialist-led treatment for bones & joints
- Expertise in fractures, joint replacements & dislocations
- Global standards with trusted, patient-friendly care
78k+
Family Medicine256+
Planing Solution76k+
Doctor Support336k+
Emergencies PlanOur Best Service
We Provide Assistance in Service
Adult Reconstruction Surgery
Comprehensive solutions for complex joint reconstruction and orthopedic conditions.
Appointment Now
Knee
Replacement
Advanced knee replacement procedures for pain-free mobility and joint function.
Appointment Now
Total Hip Replacement Surgery
Effective treatment to restore hip joint function with long-lasting results.
Appointment Now
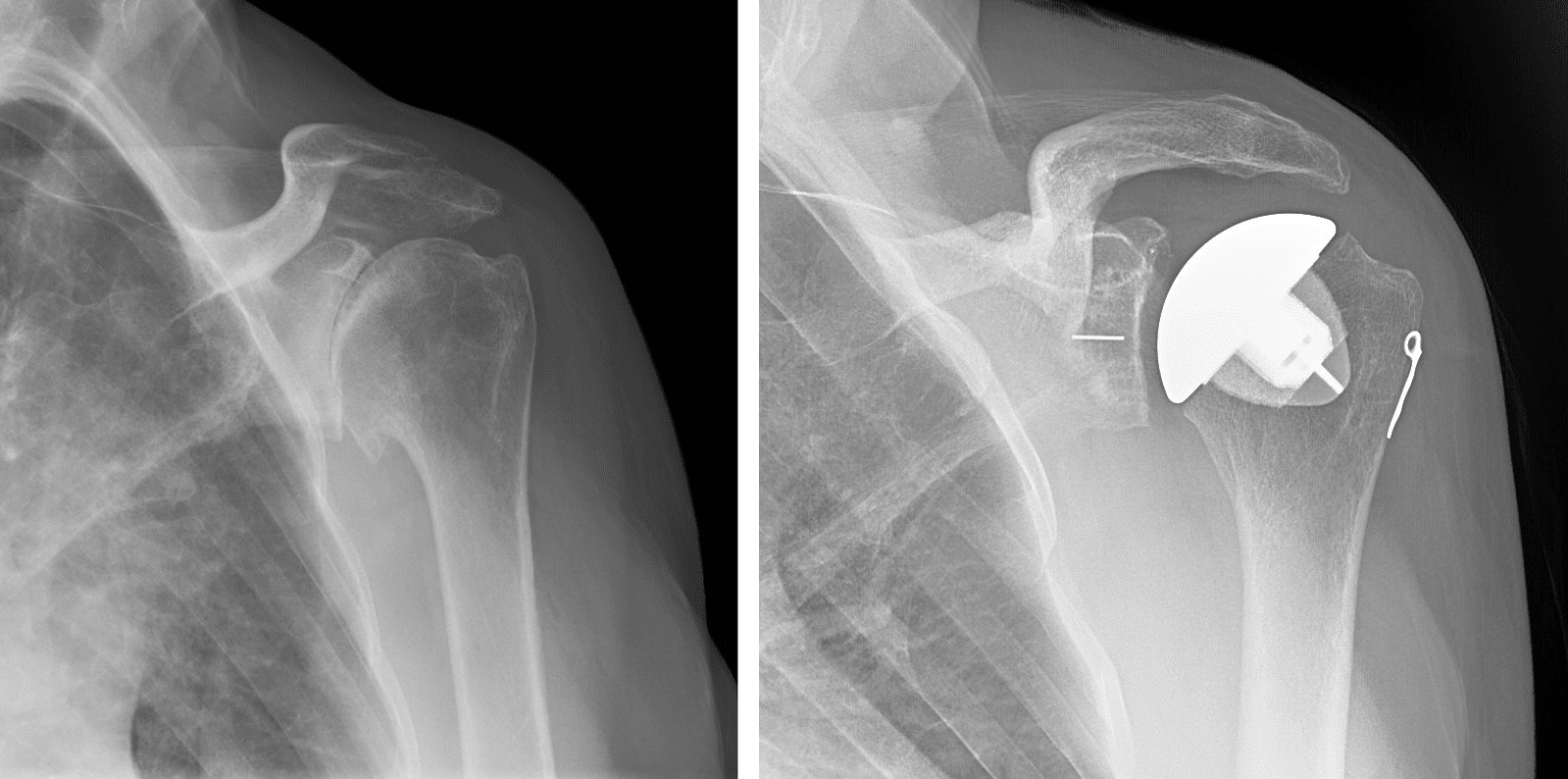
Shoulder
Replacement
Innovative shoulder replacement solutions for pain relief and restored motion.
Appointment Now
Resurfacing Shoulder Arthroplasty
Minimally invasive resurfacing for early-stage shoulder arthritis and joint damage.
Appointment Now
Your bones deserve better.
And we’re here to deliver exactly that.
Minimal Invasive & Soft Tissue Preserving Techniques
Detailed Pre-Procedure Planning to Reduce Surgical Risk
Why Choose Orthospine?
✔ Precision. Planning. Permanent Relief
At Orthospine, our orthopaedic team is committed to delivering accurate, personalised, and long-lasting solutions for joint and musculoskeletal conditions. We blend advanced medical techniques with thoughtful planning to ensure every patient receives the right treatment at the right time.
✔ Expert-driven decisions
Every treatment plan is guided by experienced specialists who rely on medical expertise, modern technology, and evidence-based practices.
✔ Personalised care that truly fits you
We take time to understand your symptoms, lifestyle, and recovery goals, ensuring you receive care that is tailored specifically to your needs.
✔ Focused on long-term comfort and mobility
Our goal is not just to treat pain but to help you regain strength, movement, and confidence in your daily life.
Our Team Member
Meet Our Doctor
EXCELLENT
Our Contact Now
Get In Questions Touch.
It is issued free of charge in medical offices or at home with time
purchase of services in the amount of more than $40 per person. icese
in an elevated ambience.
- Business sagittis leo for best medical call.
- We give management hospital colling.
Appointment Call
24/7 – quick and easyBook an appointment
Our Blog News
We are Medical Largest Blog
