Advanced Solution for Complex Shoulder Problems
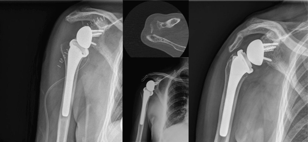
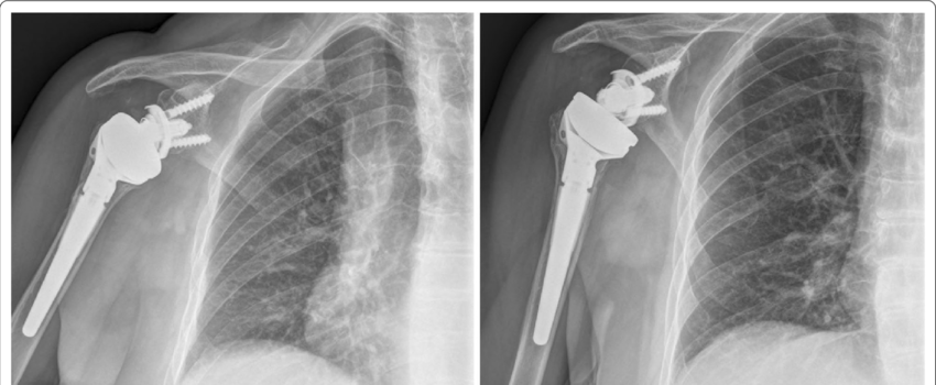
Reverse shoulder arthroplasty, also known as reverse total shoulder replacement, is a specialized surgical procedure designed for patients with severe shoulder damage, especially those with large rotator cuff tears. At our Delhi orthopedic center, our experienced surgeons perform this advanced procedure to restore mobility, reduce pain, and help patients regain the ability to perform daily activities.
Book an Appointment
What is Reverse Shoulder Arthroplasty?
In a standard shoulder replacement, the ball of the joint is replaced with a prosthetic ball and the socket with a prosthetic socket. In reverse shoulder arthroplasty, the positions are switched — a metal ball is attached to the shoulder blade and a socket is attached to the upper arm bone. This design allows the deltoid muscle, instead of the damaged rotator cuff, to power the arm.
Who Needs Reverse Shoulder Arthroplasty?
This procedure is often recommended for patients with:
- Massive, irreparable rotator cuff tears
- Severe shoulder arthritis with rotator cuff deficiency (cuff tear arthropathy)
- Complex shoulder fractures
- Failed previous shoulder replacements
- Chronic shoulder instability and weakness
Benefits of Reverse Shoulder Arthroplasty
- Significant pain reduction
- Restored ability to lift the arm overhead
- Improved shoulder stability and strength
- Effective even in absence of rotator cuff function
- Long-lasting improvement in daily activities
Our Expertise in Delhi
Our orthopedic surgeons in Delhi have extensive experience with reverse shoulder arthroplasty, using the latest implant designs and surgical navigation systems. We provide personalized treatment plans, advanced rehabilitation programs, and comprehensive follow-up to ensure long-term success.
Our Treatment Process
- Detailed Evaluation – Medical history review, imaging tests, and functional assessment
- Customized Surgical Planning – Selection of the right implant and approach
- Surgery – Precision-based procedure with minimal tissue disruption
- Post-Operative Rehabilitation – Structured physiotherapy to restore movement and strength
Why Choose Us for Reverse Shoulder Arthroplasty in Delhi?
- Specialized expertise in complex shoulder replacements
- Advanced implants designed for durability and function
- Comprehensive care from diagnosis to recovery
- Proven patient satisfaction and surgical success rates
